Seamless standardisation with Tissue-Tek Genie®

It is crucial that labs can rely on their slides for a seamless – and accurate – diagnosis. With many more commercial instruments focusing on flexibility and choice, these qualities are difficult to separate from subjectivity and complexity.

Discover more
Sakura Finetek and Hamamatsu Photonics K.K.: Global Alliance Press Release

New global partnership between Sakura Finetek and Hamamatsu Photonics strengthens the digital pathology workflow from slide preparation to imaging.

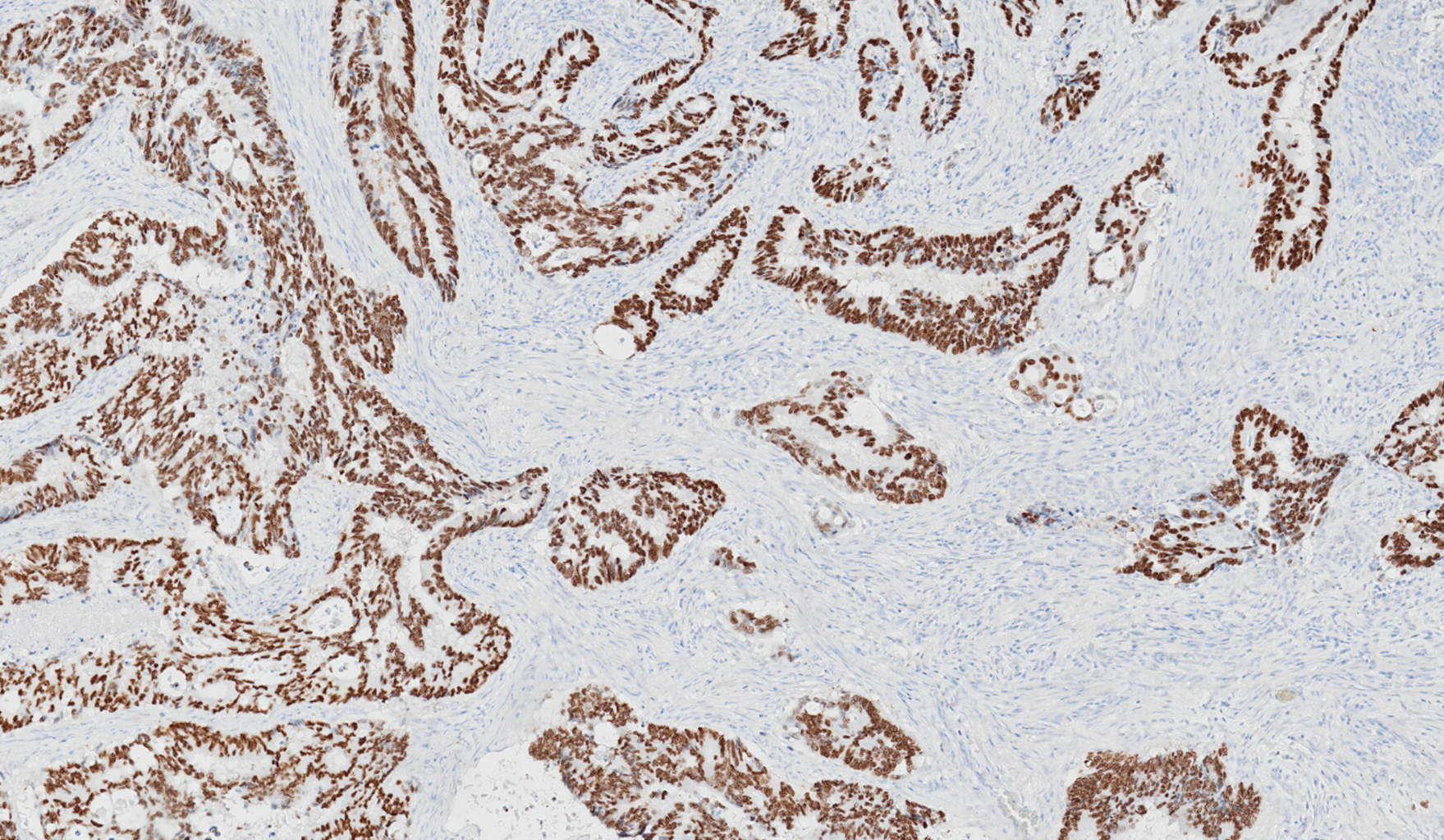
The diagnostic utility of Cadherin 17 (CDH17) in colorectal and gastric carcinomas

Explore how Cadherin 17 (CDH17) serves as a sensitive and specific diagnostic marker for colorectal, gastric and pancreatic carcinomas. Learn how CDH17 compares with CDX2 and CK20 in identifying gastrointestinal malignancies.

Utility of special AT-rich sequence-binding protein 2 (SATB2) in gastrointestinal tumour diagnostics

Learn how special AT-rich sequence-binding protein 2 (SATB2) supports accurate diagnosis of colorectal and other lower gastrointestinal tumours. Discover how SATB2 complements CDX2 to improve detection in Cancer of Unknown Primary (CUP) cases.

Sakura Finetek at ECP 2025: Where tradition meets the future in histopathology

We were excited to join the global pathology community at ECP 2025 in Vienna. Here’s how Sakura Finetek contributed to the congress theme: “Tradition meets the future.”

Managing complexity in laboratory automation

Why structured consultancy is essential for sustainable change